CT dents Saint Martin d'Hères Grenoble 38
Dr Sophie COHEN-GUEDJ Pratique de l'Implantologie - Esthétique dentaire - Parodontologie - Prothèses dentaires
CT dents Saint Martin d'Hères Grenoble 38
Dr Sophie COHEN-GUEDJ Pratique de l'Implantologie - Esthétique dentaire - Parodontologie - Prothèses dentaires

23 avenue Ambroise Croizat
38400 St Martin D'Heres près de Grenoble

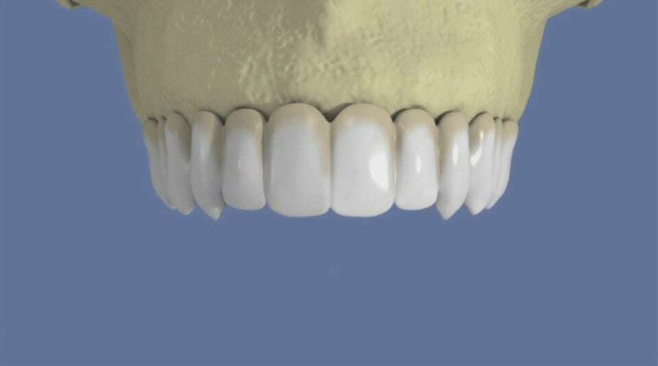
Maxillaire : bridge vissé sans fausse gencive


video-play-icon

Articles similaires

Derniers articles

À la une

Qu'est-ce qu'un implant ? indications et contre-indications

20 Sep 2024

Un implant dentaire est assimilable à une racine artificielle. Il se présente sous la forme d’une vis en titane placée dans l’os de la mâchoire.

À la une

La pose d'implants dentaires

20 Sep 2024

La pose d’implants est une intervention courante qui permet de retrouver un réel confort de vie et offre une solution esthétique optimale.

À la une

Les prothèses dentaires sur implants

20 Sep 2024

Après la pose d’implants, retrouvez l’esthétique et les fonctions de vos dents naturelles avec vos nouvelles prothèses dentaires.

Catégories

Création par Webdentiste

Connexion